インプラントならアイデンタルクリニック トップページ > インプラント症例・実績集
インプラント専門医院の
症例集

アイデンタルクリニックはインプラント専門医院として累計38,000本を超える埋入実績がございます。インプラント治療された一部の症例をご紹介します。難治症例だけではなくインプラント1本からでも、もちろん対応可能です。まずは無料のカウンセリングを予約ください。
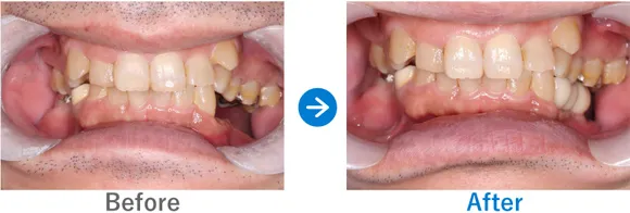
単体インプラント(1本のみ)のケース
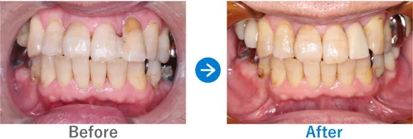
Case1
奥歯をインプラントに。ガイド&10年保証ありでコストパフォーマンス◎
左下6が破折して抜歯



インプラント1本:左下6
308,000円(内訳:インプラント1本(ネオデント)、ガイド、仮歯、保証10年)
※当時の価格で現在とは異なる場合があります。
来院の背景
右下の奥歯が破折したため、抜歯。インプラントを検討し来院されました。できるだけ見た目よく仕上げてほしいとのご要望もありました。
治療結果
骨の治癒がよく骨幅もあったため、骨造成をすることなくインプラント手術ができました。噛む力が強いため、今後は噛み締めや食いしばりによるインプラントへの負担を軽減していくことがポイントです。対策方法としては、マウスピースやボツリヌストキシン注射などがあります。また、定期的なメンテナンスも重要です。
考えられる副作用とリスク
炎症反応により手術後数日〜1週間程度腫れや痛みが続く可能性があります。手術内容や範囲によって異なりますが、次第に腫れが引いてくることがほとんどです。
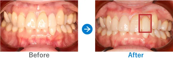
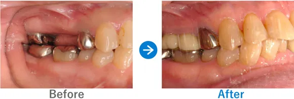
Case2
ブリッジで歯根が破折。セカンドオピニオンにより低コストで治療できた
左下6のブリッジ破折


インプラント1本:左下6、抜歯テルプラグ
396,000円(内訳:抜歯テルプラグ、インプラント1本(ストローマン)、ガイド、仮歯、保証20年)
※当時の価格で現在とは異なる場合があります。
来院の背景
ブリッジ治療を受けていた歯の根っこが破折してしまい、かかりつけ医院でインプラントを提案されたそう。かかりつけ医では骨の治療が必要だと言われ、インプラント自体の費用も高額だったため、セカンドオピニオンで来院されました。
治療結果
骨の幅がじゅうぶんにあったため、骨の治療は行わずにインプラントを埋入。しっかり噛めるようになりました。現在は他の歯も治療中です。
喫煙されているため、インプラント周囲炎にはとくに注意が必要です。定期的なメンテナンスが重要です。
考えられる副作用とリスク
炎症反応により手術後数日〜1週間程度腫れや痛みが続く可能性があります。手術内容や範囲によって異なりますが、次第に腫れが引いてくることがほとんどです。
Case3
膿が溜まった奥歯を抜歯しインプラントに。埋もれていた親知らずも抜歯
右下6に歯根嚢胞あり、かかりつけ医院で抜歯が必要と診断


インプラント1本:右下6、抜歯ソケットプリザベーション
495,000円(内訳:抜歯ソケットプリザベーション、インプラント1本(ストローマン)、ガイド、仮歯、保証20年)
※当時の価格で現在とは異なる場合があります。
来院の背景
右下の治療済みの歯の根っこに膿が溜まり、かかりつけの歯科医院で抜歯が必要と言われて来院されました。
治療結果
歯根の先端に膿ができており、骨吸収が大きい状態でした。そこで、抜歯時に膿をきれいに取り除いたうえで骨補填を行いました。抜歯ソケットプリザベーションからインプラントを行うことにより、歯茎が痩せることなくインプラントを埋入できました。患者様からは、しっかりと噛めるようになったと喜んでいただきました。また、インプラントに加えて埋伏していた親知らずの抜歯も行いました。
患者様からは、しっかりと噛めるようになったと喜んでいただきました。また、インプラントに加えて埋伏していた親知らずの抜歯も行いました。
考えられる副作用とリスク
炎症反応により手術後数日〜1週間程度腫れや痛みが続く可能性があります。手術内容や範囲によって異なりますが、次第に腫れが引いてくることがほとんどです。
Case4
歯科恐怖症でもセデーションで眠っている間に手術が終了
12年前に治療した左下6が悪化し抜歯予定




インプラント1本:左下6、抜歯テルプラグ
440,000円(内訳:抜歯テルプラグ、インプラント1本(ストローマン)、ガイド、仮歯、セデーション、保証20年)
※当時の価格で現在とは異なる場合があります。
来院の背景
12年前に他院で治療済みの歯が、10年以上定期検診に通院していたにもかかわらず悪化。抜歯とインプラントを提案されましたが、価格が高かったためセカンドオピニオンで来院されました。
治療結果
抜歯からインプラント1本を無事に終えました。歯科への恐怖心に加え嘔吐反射(歯磨きなどをする際にオエっとなること)もあるため、インプラント手術の際はセデーション(静脈内鎮静法)をし、患者様の不安を取り除いた状態で施術を受けていただきました。
嘔吐反射により歯磨きが十分ではない様子だったので、電動音波歯ブラシをご購入いただき、歯みがき指導を行いました。また、喫煙されておりインプラント周囲炎のリスクが高いため、今後のメンテナンスが重要となります。
考えられる副作用とリスク
炎症反応により手術後数日〜1週間程度腫れや痛みが続く可能性があります。手術内容や範囲によって異なりますが、次第に腫れが引いてくることがほとんどです。
Case5
ゴルフで負傷した歯をインプラントに。歯ぎしり対策はナイトガードが有用
左下6に痛みあり。他院でかぶせ物を外した状態



インプラント1本:左下6、抜歯テルプラグ
396,000円(内訳:抜歯テルプラグ、インプラント1本(ストローマン)、ガイド、仮歯、保証20年)
※当時の価格で現在とは異なる場合があります。
来院の背景
ゴルフの練習中にゴルフボールが顔にあたり、その衝撃で歯が痛み出したそうです。痛みが強いため、近所の歯科医院で被せものを外してもらったものの痛みが治まらず、抜歯の必要性を感じて来院されました。
治療結果
ダメージを受けていた左下の奥歯を抜歯し、テルプラグ(傷口を保護し、回復を助ける処置)を施したうえでインプラント治療を行いました。噛む力が強いので、ナイトガードの使用をおすすめしています。
考えられる副作用とリスク
炎症反応により手術後数日〜1週間程度腫れや痛みが続く可能性があります。手術内容や範囲によって異なりますが、次第に腫れが引いてくることがほとんどです。
Case6
放置していたぐらぐら奥歯をインプラントにし、歯に悩まされない生活に!
右下の奥歯からときどき膿が出る、ぐらぐらしている



インプラント1本:右下6、抜歯ソケットプリザベーション
385,000円(内訳:抜歯ソケットプリザベーション、インプラント1本(ストローマン)、ガイド、仮歯、保証20年)
※当時の価格で現在とは異なる場合があります。
来院の背景
右下の奥歯1本がぐらぐらしており、ときどき膿が出る状態でした。1年前に他院で診てもらったものの、インプラントの費用が高くそのまま放置。しかし、やはり歯を気にしない生活がしたいと考え直し、来院されました。
治療結果
抜歯ソケットプリザベーション(抜歯後に骨がやせるのを防ぐ処置)を行いインプラントをしました。左下の奥歯1本も、歯の根っこの先端に影が認められるため、今後治療が必要となる可能性があることをお伝えしています。またインプラント周囲炎のリスク要因である高血圧の持病があるため、定期的なメンテナンスが重要です。
考えられる副作用とリスク
炎症反応により手術後数日〜1週間程度腫れや痛みが続く可能性があります。手術内容や範囲によって異なりますが、次第に腫れが引いてくることがほとんどです。
Case7
治療済みの歯が破折。丁寧な説明のおかげで安心してインプラントを受けられた
左下6根尖病巣、破折


インプラント1本:左下6、抜歯テルプラグ
550,000円(内訳:抜歯テルプラグ、インプラント1本(ストローマン)、ガイド、仮歯、セデーション、保証20年)
※当時の価格で現在とは異なる場合があります。
来院の背景
1〜2年前に他院で治療した歯に噛みづらさを感じて来院されました。
治療結果
診察の結果、治療をしたはずの歯の根っこの先端の疾患と破折がわかり、インプラントを実施しました。さまざまな不安をお持ちだったので、ひとつひとつ丁寧に説明をし、ご納得いただいたうえで治療へと進みました。噛む力が強いため、ナイトガードの使用を推奨しています。
考えられる副作用とリスク
炎症反応により手術後数日〜1週間程度腫れや痛みが続く可能性があります。手術内容や範囲によって異なりますが、次第に腫れが引いてくることがほとんどです。
Case8
出産間近の駆け込みインプラント。妊婦さんに寄り添った対応で無事に施術終了
来院1週間前に左下7を抜歯



インプラント1本:左下7
392,000円(内訳:インプラント1本(ノーベル)、保証10年)
※当時の価格で現在とは異なる場合があります。
来院の背景
左奥歯の痛みの治療のために近所の歯科医院を訪れたところ、詳しい説明もなく抜歯されてしまったそうです。抜歯後は食事がしづらく、インプラントを検討し来院されました。
治療結果
二人目のお子さんの出産を控えた状態での来院でした。上のお子さんも小さいため、2回目のカウンセリングはお電話で実施し、ご納得されたうえで治療へと進まれました。出産を控えており、かつ上のお子さんの授乳中でもあったためセデーションはせず、歯肉が回復した段階で早めにインプラント治療を行いました。
歯並びの関係で奥歯に負担がかかりやすいため、アバットメントや人工歯の状態を随時メンテナンスしていく必要があります。
考えられる副作用とリスク
炎症反応により手術後数日〜1週間程度腫れや痛みが続く可能性があります。手術内容や範囲によって異なりますが、次第に腫れが引いてくることがほとんどです。
Case9
約30年間ぐらぐらしていた前歯をインプラントに。即時に仮歯が入り仕上がりにも納得
右上前歯のぐらつき



インプラント1本:右上1
347,000円(内訳:抜歯即時埋入、インプラント1本(ノーベル)、仮歯、保証5年)
※当時の価格で現在とは異なる場合があります。
来院の背景
19歳のときに転んだはずみで前歯がぐらつくようになり、これまで他院での治療でなんとか維持してきましたが、ここ最近で急にぐらぐらするようになってきたそうです。ご自身の感覚では歯の根元がダメになっている気がするので、早くなんとかしてほしいと来院されました。
治療結果
前歯がダメージを受けてから30年近く経っているため、骨吸収が進んで歯が長くなっている状態でした。一方で、歯の根っこの先には異常がないことを確認できたため、前歯ということもあり早めに治療をスタート。抜歯後にすぐ仮歯を入れる方法で治療を進めました。
骨吸収が進んでいたため歯は長めになりましたが、事前に説明していたこともありご納得いただける結果となりました。
考えられる副作用とリスク
炎症反応により手術後数日〜1週間程度腫れや痛みが続く可能性があります。手術内容や範囲によって異なりますが、次第に腫れが引いてくることがほとんどです。
Case10
7〜8年間で何度も作り直していた義歯を愛犬がガブリ。この機にインプラントを決意
左下6を抜歯後に使用していた義歯が破損



インプラント1本:左下6
462,000円(インプラント1本(ストローマン)、ガイド、仮歯、セデーション、保証20年)
※当時の価格で現在とは異なる場合があります。
来院の背景
7~8年前に右下の奥歯を抜歯。以降は義歯を使用していましたが、愛犬がかじって壊れたため、インプラントを検討し来院されました。
治療結果
怖がりだというご本人のご希望で、セデーションを施したうえでインプラント施術を行いました。義歯は7~8年の間に何度か作り直して使用していたとのこと。インプラント後は義歯のお手入れも不要になり、快適に過ごされているそうです。噛む力が強いため、定期メンテナンスでのフォローアップが必要です。
考えられる副作用とリスク
炎症反応により手術後数日〜1週間程度腫れや痛みが続く可能性があります。手術内容や範囲によって異なりますが、次第に腫れが引いてくることがほとんどです。
Case11
前歯の差し歯が脱離。インプラントにしてマスクなしで会話がしたい!
右上2の差し歯の離脱、根尖の破折



インプラント1本:右上2、抜歯即時埋入
568,700円(内訳:インプラント1本(ストローマン)、ガイド、抜歯即時埋入、骨補填、仮歯、セデーション、保証20年)
※当時の価格で現在とは異なる場合があります。
来院の背景
歯の根っこの先端部分が破折し、セラミックの差し歯が下がってしまっている状態でした。しっかり噛めないことに加え、前歯なので人目が気になりマスクが欠かせないそう。「マスクなしで会話を楽しみたい」という想いも、インプラントを検討した動機のひとつだそうです。
治療結果
前歯のため、歯のない期間ができないように抜歯即時埋入でインプラント治療を行いました。また、骨の量が少なかったため骨補填も行いました。噛む力が強いため、定期メンテナンスでのフォローアップが必要です。
考えられる副作用とリスク
炎症反応により手術後数日〜1週間程度腫れや痛みが続く可能性があります。手術内容や範囲によって異なりますが、次第に腫れが引いてくることがほとんどです。
Case12
歯周病で前歯が突然抜けた。他の歯を守るには歯周病治療が重要
左上2が抜けた状態、歯周病



インプラント1本:左上2、抜歯ソケットプリザベーション
385,000円(内訳:抜歯ソケットプリザベーション、インプラント1本(ストローマン)、ガイド、仮歯、保証20年)
※当時の価格で現在とは異なる場合があります。
来院の背景
左前歯が突然抜けてしまい、インプラントを検討し来院されました。
治療結果
抜けてあまり時間が経っていなかったため、抜歯ソケットプリザベーションを施したのちインプラントを行いました。全体的に中〜重度の歯周病がみられ、かつ糖尿病でもあるため、他の歯も失う可能性が高いと考えられます。歯周病の治療を行うことが非常に重要です。
考えられる副作用とリスク
炎症反応により手術後数日〜1週間程度腫れや痛みが続く可能性があります。手術内容や範囲によって異なりますが、次第に腫れが引いてくることがほとんどです。
Case13
奥歯1本をインプラントに。怖がりなのでセデーションを希望
右下奥歯2本を2ヶ月前に抜歯




インプラント1本:右下7、セデーション
440,000円(内訳:インプラント1本(ストローマン)、ガイド、セデーション、仮歯、保証20年)
※当時の価格で現在とは異なる場合があります。
来院の背景
右下の奥歯と親知らずが虫歯になり、2ヶ月前に大学病院で抜歯。歯科治療が苦手なため、セデーションが可能な歯科医院を調べて来院されました。
治療結果
心配性だというご本人の希望で、セデーションを施してインプラント治療を行いました。また、高血圧や貧血の既往歴にも十分配慮しながら治療を進めました。噛む力が強いため、ナイトガードの使用を推奨しています。
考えられる副作用とリスク
炎症反応により手術後数日〜1週間程度腫れや痛みが続く可能性があります。手術内容や範囲によって異なりますが、次第に腫れが引いてくることがほとんどです。
Case14
前歯の差し歯が外れ、インプラントに。慎重な色合わせで満足の仕上がりに
左上2の差し歯の脱離



インプラント1本:左上2、抜歯ソケットプリザベーション
630,600円(内訳:抜歯ソケットプリザベーション、インプラント1本(ストローマン)、ガイド、仮歯、保証20年)
※当時の価格で現在とは異なる場合があります。
来院の背景
左前歯の差し歯が外れたため、近所の歯科医院を受診。そこではクラウンレングスニング(歯冠長延長術)を提案されましたが、予定が合わずにそのままにしていたそうです。当院のカウンセリングで十分な説明を行ったところ、インプラントを選択されました。
治療結果
骨が薄かったため、抜歯ソケットプリザベーションで骨吸収を抑える処置を施してから、インプラントを行いました。上部構造の色合わせがなかなか難しかったのですが、技工士と念入りに打ち合わせ、患者様に満足していただける仕上がりになりました。
考えられる副作用とリスク
炎症反応により手術後数日〜1週間程度腫れや痛みが続く可能性があります。手術内容や範囲によって異なりますが、次第に腫れが引いてくることがほとんどです。
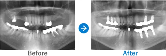
単体インプラント(2〜数本)のケース
Case1
上の歯3本をインプラントに。骨が細くても骨補填によって施術可能
右上4・5が縦半分に破折し膿んでいる。左上5の歯根が短くぐらつきがある





インプラント3本:右上4・5、左上5
1,512,500円(内訳:抜歯ソケットプリザベーション、インプラント3本(ストローマン)、ガイド、仮歯、保証20年)
※当時の価格で現在とは異なる場合があります。
来院の背景
上の歯の根っこが折れて膿んでしまい抜歯が必要な状態のため、インプラントを検討し来院されました。
治療結果
上顎3本のインプラント治療を行いました。上顎の骨が細かったため、抜歯時に骨補填の抜歯ソケットプリザベーションを実施。これにより、インプラントを適切に埋入できました。しっかり噛めるようになり、喜んでいただけました。
噛む力が強いので、今後はブラキシズム(歯ぎしりや食いしばり)の対策が必要です。
考えられる副作用とリスク
炎症反応により手術後数日〜1週間程度腫れや痛みが続く可能性があります。手術内容や範囲によって異なりますが、次第に腫れが引いてくることがほとんどです。
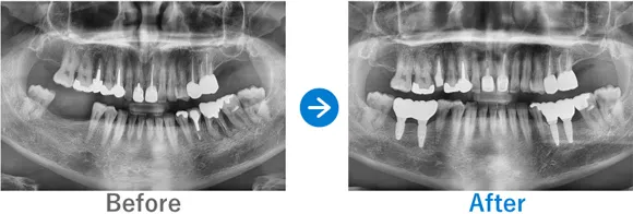
Case2
ブリッジで両隣の歯もダメに…。インプラント治療後は奥歯でしっかり噛めるように!
右下7はかなり前に抜歯後、ブリッジ治療済み。左下6は抜歯後、義歯を入れたがほとんど使っていない





インプラント4本:右下6・7、左下6・7
1,249,500円(内訳:GBR、インプラント4本(ネオデント)、ガイド、仮歯、セデーション、骨補填材、保証20年)
※当時の価格で現在とは異なる場合があります。
来院の背景
下顎の左右の臼歯部がブリッジによる影響で傷んでしまい、義歯に変更したもののほとんど使えない状態でした。奥歯で噛めないことにストレスを感じ、インプラントを検討。先にインプラント治療をしていた奥様からの紹介で来院されました。
治療結果
来院時の検査で、骨はやせてはいたものの治っている状態だったので、インプラント埋入と同時に骨補填をし、下顎の左右に2本ずつインプラントを埋入し治療完了しました。しっかり噛めるようになり患者様も喜んでおられます。今後はナイトガードを使用して、ブラキシズム(無意識下の歯ぎしり、食いしばりなど)の予防をしていく予定です。
考えられる副作用とリスク
炎症反応により手術後数日〜1週間程度腫れや痛みが続く可能性があります。手術内容や範囲によって異なりますが、次第に腫れが引いてくることがほとんどです。高血圧のため、インプラント周囲炎のフォローアップが必要です。
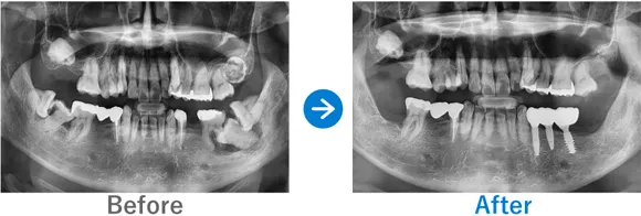
Case3
ブリッジの不具合でインプラントを決意。早めの治療で他の歯を守ることに成功
27年前に治療した右下のブリッジが最近動くようになった。右下7は骨なし




インプラント3本:右下5・6・7、右下5・8抜歯テルプラグ、右下7抜歯ソケットプリザベーション
1,348,600円(内訳:抜歯テルプラグ、抜歯ソケットプリザベーション、インプラント3本(ストローマン)、ガイド、仮歯、セデーション、PMTC、保証20年)
来院の背景
27年前に治療したブリッジが壊れてきたため、かかりつけ医院で診てもらったところ、インプラント治療をすすめられご来院されました。
治療結果
抜歯テルプラグ(歯を抜いた穴を保護し回復をうながす処置)と抜歯ソケットプリザベーション(抜歯後の骨吸収を防ぐ処置)を行い、骨の回復と成長を待ってからインプラントを埋入しました。治癒期間に1年以上かかりましたが、無事にインプラントを入れることができました。奥まで噛めるようになり喜んでおられます。
失った歯は右下1本のみだったため、早めのインプラント治療によって他の歯を守ることができました。全顎的にバランスが保てていると思います。
考えられる副作用とリスク
炎症反応により手術後数日〜1週間程度腫れや痛みが続く可能性があります。手術内容や範囲によって異なりますが、次第に腫れが引いてくることがほとんどです。高血圧のため、インプラント周囲炎のフォローアップが必要です。
Case4
左右を同時に治療することで時短&コストダウン。満足度もUP
右下の奥歯欠損(抜歯したまま放置)、左下奥のブリッジの脱離





インプラント3本:左下2本、右下1本
1,135,000円(内訳:抜歯テルプラグ、インプラント3本(ストローマン)、セデーション、保証10年)
※当時の価格で現在とは異なる場合があります。
来院の背景
右下の奥歯は抜歯したまま、左奥はブリッジ治療済みでしたが外れそうな状態でした。しっかり噛めないので、早くなんとかしたいと来院されました。当初は費用の関係で右下のインプラント治療のみを希望されていましたが、右下を庇うことで左下のブリッジに負担がかかっていることを説明し、一緒に治療することをおすすめしました。その結果、ご納得され、右1本に加え、左2本のインプラント治療に進まれました。
治療結果
元々歯のない右奥に加え、ブリッジが脱離していた左奥も同時に治療したことで治療期間が短縮でき、別々に治療をしていた場合と比較し結果的にコストも抑えることができました。患者様の満足度も高く喜んでいただけました。
考えられる副作用とリスク
炎症反応により手術後数日〜1週間程度腫れや痛みが続く可能性があります。手術内容や範囲によって異なりますが、次第に腫れが引いてくることがほとんどです。
Case5
ほぼ虫歯な状態から、できるだけ歯を残した最小限のインプラントできれいな口元に
全顎ランパントカリエス(複数の歯に同時に虫歯が発生する状態)







インプラント4本:上顎2本、下顎2本、残せる歯はすべて補綴治療
4,917,000円(内訳:抜歯テルプラグ、GBR、根管治療、インプラント4本(ストローマン)、ガイド、全顎仮歯、補綴治療、セデーション、保証20年)
※当時の価格で現在とは異なる場合があります。
来院の背景
歯医者が苦手で、子供時代に歯科にかかったきりでした。ほとんどの歯に虫歯がある状態だったため、心配になったお父様が連れてこられました。
治療結果
まだお若いため、残せる歯はできるだけ残したうえで補綴治療(クラウンやブリッジなどによる治療)を行い、どうしても抜歯が必要な歯4本のみインプラントを行う方針で治療を進めました。
治療後は、見た目が整ったことはもちろん、しっかり噛めるようになったと喜んでいらっしゃいました。歯磨きが苦手とのことなので、定期メンテナンスでのアフターフォローも大切です。
考えられる副作用とリスク
炎症反応により手術後数日〜1週間程度腫れや痛みが続く可能性があります。手術内容や範囲によって異なりますが、次第に腫れが引いてくることがほとんどです。
Case6
抜歯後すぐの埋入が難しいケースでも、仮歯で「歯のない期間ゼロ」の治療が可能
上の前歯のブリッジが脱離しかかっているが治療が怖くて放置している状態



インプラント4本:抜歯ソケットプリザベーション、GBR、テンポラリーインプラント、仮歯、歯根処置
5,062,200円(内訳:抜歯ソケットプリザベーション、インプラント4本(ストローマン)、ガイド、GBR、骨補填、セデーション、歯根処置、仮歯、保証20年)
※当時の価格で現在とは異なる場合があります。
来院の背景
20代の頃に治療した前歯のブリッジが、2年ほど前からグラグラし始めたものの、治療が怖くてそのままにしていたそうです。かかりつけの歯科では入れ歯しか選択肢がないと言われ、来院されました。テレホンアポインターという仕事柄、会話ができないと困るため、すぐに仮歯を入れることをご希望でした。
治療結果
骨がやせていたため、抜歯後すぐにインプラントができる状態ではありませんでした。そのため、抜歯ソケットプリザベーションとGBR(骨造成)を同時に行い、仮歯を支えるためのテンポラリーインプラントをまずは2本埋入し、骨の治癒を待ちました。人工歯(上部構造)は歯肉付きのタイプにすることで、見た目も自然に仕上がりました。
考えられる副作用とリスク
炎症反応により手術後数日〜1週間程度腫れや痛みが続く可能性があります。手術内容や範囲によって異なりますが、次第に腫れが引いてくることがほとんどです。
Case7
他県からのご来院。通院回数に配慮した計画でスムーズな治療が実現
右上奥歯が抜けかけている、入れ歯が合わない、歯周病






インプラント4本:抜歯テルプラグ、サイナスリフト、骨補填
1,512,500円(内訳:抜歯テルプラグ、インプラント4本(ストローマン)、ガイド、サイナスリフト、骨補填、仮歯、セデーション、保証20年)
※当時の価格で現在とは異なる場合があります。
来院の背景
入れ歯が合わなくなっていることに加え、奥歯にぐらつきがありインプラントを検討。かかりつけの歯科はインプラントを行っていないため、職場のある新宿でクリニックを探されたそうです。
治療結果
他県からお越しだったので、通院回数が少なくすむように治療計画を立てました。上の歯は骨がやせていたため、サイナスリフトで骨造成を行いました。歯周病の既往があるので、定期メンテナンスでのフォローアップが必要です。
考えられる副作用とリスク
炎症反応により手術後数日〜1週間程度腫れや痛みが続く可能性があります。手術内容や範囲によって異なりますが、次第に腫れが引いてくることがほとんどです。
Case8
2度目のインプラント。定期メンテを欠かさず13年前のインプラントも状態良好
左下奥歯のブリッジの不良





インプラント5本:左上5・7、右上5・6(2012年)、左下5・6・7(2024年施術)、抜歯ソケットプリザベーション
3,092,800円(内訳:上顎(2012年):インプラント4本(京セラ)、保証5年/下顎(2024年):抜歯ソケットプリザベーション、インプラント3本(ストローマン)、ガイド、仮歯、セデーション、保証20年)
※当時の価格で現在とは異なる場合があります。
来院の背景
13年前に上顎左右の奥歯をインプラントにされ、以降定期メンテナンスを受けていらっしゃる方です。下顎の左奥のブリッジにも不具合を感じ、インプラントのご相談を受けました。話すお仕事をされているため、差し障りのないように治療を進めたいとのご要望でした。
治療結果
下顎左奥のブリッジの歯は、内部が虫歯になっていました。また、根っこの周囲の骨もやせている状態だったため、ソケットプリザベーション(抜歯後すぐに骨吸収を抑える処置)をし、インプラントを3本埋入しました。
上顎左右奥のインプラントは2012年に施術されていますが、定期メンテナンスを欠かさずに受けてくださっていることもあり、13年経っても良好なコンディションを保てています。
考えられる副作用とリスク
炎症反応により手術後数日〜1週間程度腫れや痛みが続く可能性があります。手術内容や範囲によって異なりますが、次第に腫れが引いてくることがほとんどです。
Case9
奥歯4本をインプラントに。歯ぎしり対策にはナイトガードが◎
右下は10年前抜歯、左下は膿が出ている状態






インプラント4本:右下5・6、左下5・6
1,463,000円(内訳:インプラント4本(ストローマン)、ガイド、仮歯、保証20年)
※当時の価格で現在とは異なる場合があります。
来院の背景
10年前に抜歯した右下奥2本のインプラントを検討し来院されました。
治療結果
当初は右下のみの治療を希望されていましたが、左下奥の2本にも痛みがあり、膿が出ている状態だったため近所の歯科医院で抜歯。当院では左右奥を2本ずつインプラント治療を行いました。噛む力が強いため、ナイトガードの使用を推奨しています。
考えられる副作用とリスク
炎症反応により手術後数日〜1週間程度腫れや痛みが続く可能性があります。手術内容や範囲によって異なりますが、次第に腫れが引いてくることがほとんどです。
Case10
抗うつ薬服用中の方。丁寧な対応とセデーションで不安を軽減しながら治療
右下奥1本、左下奥歯2本の抜歯





インプラント3本:右下6、左下6・7、抜歯ソケットプリザベーション、セデーション
1,188,000円(内訳:インプラント3本(ストローマン)、抜歯ソケットプリザベーション、セデーション、ガイド、仮歯、保証20年)
※当時の価格で現在とは異なる場合があります。
来院の背景
歯に痛みがあり近所の歯科医院で抜歯。インプラントを検討し来院されました。
治療結果
抜歯された部分は骨吸収を抑える処置を施したうえでインプラント治療を行いました。うつ病のお薬を服用中のため、不安を軽減できるようセデーションをし、メンタルケアにも十分配慮しながら治療を進めました。噛む力が強いため、ナイトガードの使用を推奨しています。
考えられる副作用とリスク
炎症反応により手術後数日〜1週間程度腫れや痛みが続く可能性があります。手術内容や範囲によって異なりますが、次第に腫れが引いてくることがほとんどです。
Case11
突然歯がぐらぐら…セカンドオピニオンでの「納得できる説明」が医院選びの決め手
移植した歯の動揺、T-fix脱離動揺、噛むと痛い






インプラント3本:右上6、左下6、抜歯テルプラグ、左上2、抜歯ソケットプリザベーション
1,647,800円(内訳:インプラント3本(ストローマン)、抜歯テルプラグ、抜歯ソケットプリザベーション、セデーション、ガイド、仮歯、保証20年)
※当時の価格で現在とは異なる場合があります。
来院の背景
3ヶ月ごとにかかりつけの歯科医院へ通っていたものの、突然歯周病が悪化し歯のぐらつきが強くなったそうです。インプラントを検討し他院のカウンセリングを受けるも、説明がよくわからないまますぐに手術を提案され不安になり、セカンドオピニオンで当院にいらっしゃいました。当院のカウンセリングでは時間をかけてお話をうかがい、また丁寧な治療説明を行ったことで、ご納得いただき、治療を決意されました。
治療結果
左下は抜歯テルプラグ(歯を抜いた穴を保護し回復をうながす処置)、左上は抜歯ソケットプリザベーション(抜歯後の骨吸収を防ぐ処置)を行い、インプラント治療へと進みました。現在はメンテナンスとクリーニングを交互に受けられ、セルフケアもしっかりとされています。
考えられる副作用とリスク
炎症反応により手術後数日〜1週間程度腫れや痛みが続く可能性があります。手術内容や範囲によって異なりますが、次第に腫れが引いてくることがほとんどです。
Case12
90代のインプラント例。しっかり噛めるようになり「若返った!」とご本人も大満足
上顎はインプラント治療済み。左下奥歯2本の歯茎が膿んでいる状態







インプラント12本:右上4・5・7、左上4・5・7(2017年)、右上1・3、左上1・4(2024年)、右下6・7、下全顎補綴(2025年)
7,184,570円(内訳:インプラント12本(ストローマン)、抜歯即時埋入、骨補填、セデーション、ガイド、仮歯、PMTC、補綴治療、保証20年)
※当時の価格で現在とは異なる場合があります。
来院の背景
8年前から治療している患者様です。直近では下の奥歯の歯茎が腫れ、膿が出ている状態だったためインプラントを希望されました。
治療結果
2017年から何度かにわけて、上顎のインプラント治療を行ってきました。直近では左下奥歯2本をインプラントにし、下全顎の補綴もやり替えて咬合治療を行いました。患者様は、きちんと噛めるようになったことはもちろん「歯が白くなって若返った!」と大変喜ばれていました。
治療開始が80代とご高齢で、治療済みで安定してはいたものの、心臓病、ステント狭心症、高血圧、高コレステロール、糖尿病などの既往がありました。そのため、全身状態にとくに留意しながら治療を進めました。
考えられる副作用とリスク
炎症反応により手術後数日〜1週間程度腫れや痛みが続く可能性があります。手術内容や範囲によって異なりますが、次第に腫れが引いてくることがほとんどです。
Case13
強いブラキシズムで削れた歯に悩める女性が、インプラントでとびっきりの笑顔に!
ブラキシズムがあり、咬合力が強く、順番に歯が破折







インプラント9本:右下6、左下6(2015年)、右下7、左下7、左上3・4、抜歯ソケットプリザベーション、左上3・4・5(2025年)
7,224,760円(内訳:インプラント2本(ノーベル)、抜歯、保証10年(2015年)/インプラント7本(ストローマン)、サイナスリフト、セデーション、ガイド、仮歯、補綴治療、ボツリヌストキシン注射、保証20年(2025年))
※当時の価格で現在とは異なる場合があります。
来院の背景
ブラキシズム(無意識下の歯ぎしり、食いしばりなど)が強く、10年前に下顎左右の奥歯が割れてインプラントにした方です。ブラキシズムにより歯が全体的に削れている状態で、破折している歯は抜歯が必要でした。歯の短さが気になり、笑顔になれないとお悩みだったため、。噛み合わせの観点からも、破折した歯をインプラントにするだけでなく、全体的に咬合治療が必要であることを説明し、全顎の補綴治療を提案しました。
治療結果
強いブラキシズムの影響で歯の咬耗が激しく、破折もみられました。破折した歯は抜歯しインプラント治療を行い、全顎の補綴治療を行いました。
治療過程では、ブラキシズムにより調整期間中の仮歯が何度も壊れてしまい、涙を流されることもありました。マウスピースとボツリヌストキシン注射でブラキシズム対策をしながら治療が完了。噛み合わせはもちろん、審美的にも整いとても喜ばれていました。今後も引き続きマウスピースやボツリヌストキシン注射でブラキシズム対策を行っていくことが大切です。
考えられる副作用とリスク
炎症反応により手術後数日〜1週間程度腫れや痛みが続く可能性があります。手術内容や範囲によって異なりますが、次第に腫れが引いてくることがほとんどです。
Case14
上顎の総入れ歯と下顎奥歯をインプラントに。噛み合わせが安定し見た目も整った
11年前上顎総義歯で来院、下顎も咬耗あり、ブラキシズム







インプラント9本:右上2・4・6・7、左上2・4・6(2014年)/右下5・6、補綴治療(2024年)
5,148,350円(内訳:インプラント7本(ノーベル)、骨補填、セデーション、保証10年(2014年)/インプラント2本(ストローマン)、抜歯、ガイド、仮歯、補綴治療、保証20年(2024年))
※当時の価格で現在とは異なる場合があります。
来院の背景
11年前に上顎の総入れ歯をインプラントにした方です。右下の奥歯も抜歯が必要な状態となったためインプラント治療を希望されました。
治療結果
ブラキシズム(無意識下の歯ぎしりや食いしばり)が強く噛み合わせにも影響があったため、右下奥歯のインプラントに加え、下顎の補綴治療も行いました。噛み合わせはもちろん、見た目も整い喜ばれていました。
高血圧、喫煙によりインプラント周囲炎のリスクが高いため、今後はインプラント周囲炎対策が必要です。同時に、ブラキシズムの対策も行っていくことが大切です。
考えられる副作用とリスク
炎症反応により手術後数日〜1週間程度腫れや痛みが続く可能性があります。手術内容や範囲によって異なりますが、次第に腫れが引いてくることがほとんどです。
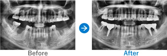
Case15
左下の奥歯3本をインプラントに。長持ちさせるには定期的なメンテナンスが大切
左下奥の欠歯




インプラント3本:右下4・5・6
1,122,000円(内訳:インプラント3本(ストローマン)、抜歯、抜歯ソケットプリザベーション、ガイド、仮歯、保証20年)
※当時の価格で現在とは異なる場合があります。
来院の背景
左下の奥歯1本を抜歯済み。その両隣もコンディションが悪くなり噛みにくい状態だったため、インプラントを検討し来院されました。
治療結果
左右奥歯の親知らずは提携する大学病院で抜歯し、その後インプラント治療に進みました。元々抜歯されていた左下5とその両隣2本、合計3本をインプラントにし、きちんと噛めるようになりました。今後もインプラントの状態を良好に維持していくには、定期的なメンテナンスが大切です。
考えられる副作用とリスク
炎症反応により手術後数日〜1週間程度腫れや痛みが続く可能性があります。手術内容や範囲によって異なりますが、次第に腫れが引いてくることがほとんどです。
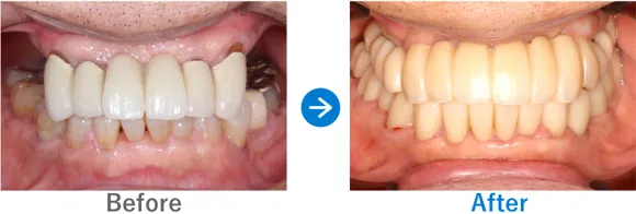
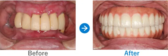
ほとんどの歯が残存していないケース
Case1
歯が1本もない状態からインプラント治療で噛める幸せを取り戻された方
歯が1本もない状態、10年以上前から上下総義歯(総入れ歯)






上顎ALLON6、下顎ALLON4、
リオペ上顎追加埋入ザイゴマインプラント2本
9,823,000円(上顎6,248,000円、下顎3,575,000円/内訳:上顎オールオン6(ノーベルザイゴマインプラント2本・ストローマンインプラント4本)、下顎オールオン4(ストローマンインプラント4本)3Dモデルガイド*、仮歯、セデーション、ボツリヌストキシン注射、3D模型、保証10年)
*単体のインプラントのガイドとは異なる、オールオン4専用のガイド
※当時の価格で現在とは異なる場合があります。
来院の背景
10年以上前から上下義歯(総入れ歯)だが、義歯が痛くて、食事に困っている。他院にて仮義歯を作ってもらっていたが担当医が辞めたこともあり、インプラントを検討。ネットで探して退院。痛みなく食事がしたい。
治療結果
上下ALLON4、右上5、左上3、リオペザイゴマインプラント2本追加順調の経過、治療終了、メンテナンス来院。インプラントで噛めるようになり、喜んでいただいた。しっかりセルフケアを頑張っておられます。お顔の表情も明るくなられて、気持ちも前向きに過ごされています。
考えられる副作用とリスク
炎症反応により手術後数日〜1週間程度腫れや痛みが続く可能性があります。手術内容や範囲によって異なりますが、次第に腫れが引いてくることがほとんどです。
Case2
上下義歯の状態からインプラント治療後に自信を取り戻された方
上下義歯(入れ歯)ほとんど歯が残っていない、残存歯は上顎1本下顎5本のみ。
上顎骨がやせていて普通にはインプラントが出来ない状態。






上顎ザイゴマインプラントでALLON4、下顎ALLON4
10,703,000円(上顎7,128,000円、下顎3,575,000円/内訳:上顎オールオン4(ノーベルザイゴマインプラント4本)、下顎オールオン4(ストローマンインプラント4本)、3Dモデルガイド*、仮歯、セデーション、ボツリヌストキシン注射、3D模型、保証10年)
*単体のインプラントのガイドとは異なる、オールオン4専用のガイド
※当時の価格で現在とは異なる場合があります。
来院の背景
60代前半から現在の義歯を使っている。初めはピッタリだったが、だんだんと義歯がゆるくなり、鈎歯(こうし)が折れた。歯がダメになったら、インプラントを検討しようと思っていた。ご主人のご友人がインプラントをしたため興味を持ったが、金額もかかるため、家族には相談せずに来院された。
治療結果
上顎ザイゴマインプラント4本。下顎ALLON4で行った。治療完了後、現在もメンテナンスで来院中で経過良好。口元が綺麗になり、お化粧をするなど美意識が高まり、おしゃれに気をつかうようになったとのこと。「笑顔が増えて、よく外出するようになりました。自信がつきました。」
考えられる副作用とリスク
炎症反応により手術後数日〜1週間程度腫れや痛みが続く可能性があります。手術内容や範囲によって異なりますが、次第に腫れが引いてくることがほとんどです。
Case3
重度の歯周病を罹患された方。フルマウスインプラント治療直後に仮歯が入り感動されたケース
全顎上下共にブリッジ治療されている。重度の歯周病で歯がグラグラしている。








上下、ALLON4
5,884,000円(上下総額/内訳:上顎オールオン4(ノーベルインプラント4本)、下顎オールオン4(ノーベルインプラント4本)、3Dモデルガイド*、仮歯、セデーション、ボツリヌストキシン注射、3D模型、保証10年)
*単体のインプラントのガイドとは異なる、オールオン4専用のガイド
※当時の価格で現在とは異なる場合があります。
来院の背景
全体的に重度の歯周病に罹患しており、歯がグラグラしており抜けそうで咬めない、食事ができなく困っていた。インプラントを検討していたが他院で800万円〜900万円と聞いた。デンタルローンを申請。
治療結果
上下のALLON4を実施して治療同日に上下手術を行った。治療後すぐに仮歯が入ったので、とても喜んでいただいた。治療終了。メンテナンス来院継続中。
現在、セルフケアもしっかりされていて、メンテナンスも欠かさず来院していただいているため、インプラントは問題なく使えています。先日、横浜院で10年ぶりくらいにお会いしたのでご挨拶したら、とても喜んでくださりました。あの時インプラントの決断をして良かったと仰っていました。
考えられる副作用とリスク
炎症反応により手術後数日〜1週間程度腫れや痛みが続く可能性があります。手術内容や範囲によって異なりますが、次第に腫れが引いてくることがほとんどです。
Case4
フルマウスインプラントで、食事も旅行も楽器も楽しめる人生の再スタート!
入れ歯を使用中。重度の歯周病で残っている歯もぐらぐらしている






上顎 オールオン4ダブルザイゴマ、下顎 オールオン4
10,318,000円(上顎6,743,000円、下顎3,750,000円/内訳:上顎オールオン4(ノーベルザイゴマインプラント4本)、下顎オールオン4(ストローマンインプラント4本)、3Dモデルガイド*、仮歯、セデーション、ボツリヌストキシン注射、3D模型、保証10年)
*単体のインプラントのガイドとは異なる、オールオン4専用のガイド
※当時の価格で現在とは異なる場合があります。
来院の背景
入れ歯を作ったものの、重度の歯周病で前歯もぐらぐらしており噛むことが難しく、入れ歯をかけている歯もダメージを受けている状態でした。入れ歯をやめて、友人と気兼ねなく食事をしたり、旅行を楽しんだり、楽器を吹いたりすることをご希望です。
治療結果
ご家族のうち、歯が悪いのは患者さまのみでコンプレックスがあったそうです。今回、思い切って治療を受けてよかった! とおっしゃっていました。30代から糖尿病の治療薬を服用されています。糖尿病は歯周病のリスクが高いので、今後もインプラント周囲炎のリスク管理が重要です。
考えられる副作用とリスク
炎症反応により手術後数日〜1週間程度腫れや痛みが続く可能性があります。手術内容や範囲によって異なりますが、次第に腫れが引いてくることがほとんどです。
Case5
笑顔も大切な営業職。フルマウスインプラントで自信が持てる口元に
入れ歯を使用中。かたいものが噛めずに困っている状態






上顎 オールオン5ザイゴマ、下顎 オールオン4
9,042,000円(上下総額/内訳:上顎オールオン5(ノーベルザイゴマインプラント2本・ストローマンインプラント3本)、下顎オールオン4(ストローマンインプラント4本)、3Dモデルガイド*、仮歯、セデーション、ボツリヌストキシン注射、3D模型、保証10年)
*単体のインプラントのガイドとは異なる、オールオン4専用のガイド
※当時の価格で現在とは異なる場合があります。
来院の背景
使用している入れ歯が合わず、かたいものが噛めずに困っていらっしゃいました。また、営業職のため、口元をきれいにしたいというご希望もありました。大きな治療になるため、奥様もご来院。お二人でカウンセリングを2回受け、ご納得されたうえで治療へと進みました。
治療結果
治療に強い不安をお持ちだったため、説明を丁寧に行いご本人に寄り添う治療を心がけました。骨の状態の関係で、上顎はオールオン5、下顎はオールオン4による手術を行いました。
考えられる副作用とリスク
炎症反応により手術後数日〜1週間程度腫れや痛みが続く可能性があります。手術内容や範囲によって異なりますが、次第に腫れが引いてくることがほとんどです。
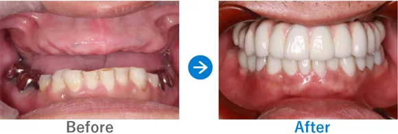
Case6
上下同時のフルマウスインプラント施術で、総入れ歯の不便さから即日解放!
上に1本のみ残存、上下とも総義歯



上顎 オールオン4、下顎 オールオン4
7,150,000円(上顎3,575,000円、下顎3,750,000円/内訳:上顎オールオン4(ストローマンインプラント4本)、下顎オールオン4(ストローマンインプラント4本)、3Dモデルガイド*、仮歯、セデーション、ボツリヌストキシン注射、3D模型、保証10年)
*単体のインプラントのガイドとは異なる、オールオン4専用のガイド
※当時の価格で現在とは異なる場合があります。
来院の背景
徐々に歯の状態が悪くなり、上の歯1本を除き上下とも総入れ歯の状態です。入れ歯ではしっかり噛むことができないことにお困りで、インプラントを決意し来院されました。
治療結果
入れ歯の使用をできるだけ早くやめたいとのご希望を鑑み、上下同時にオールオン4の手術を行いました。骨の質がやわらかかったため、手術後はスクリューの締め具合に留意しました。手術後は、熱心に歯磨きに取り組んでいらっしゃいます。
考えられる副作用とリスク
炎症反応により手術後数日〜1週間程度腫れや痛みが続く可能性があります。手術内容や範囲によって異なりますが、次第に腫れが引いてくることがほとんどです。
Case7
友人のすすめでオールオン4に。「自分の歯のように噛める」喜びを実感
残存歯の動揺と痛み、義歯の不適合







上顎 オールオン4、下顎 オールオン4
6,677,000円(上顎3,575,000円、下顎3,102,000円/内訳:オールオン4(ノーベル・ストローマン)、3Dモデルガイド*、仮歯、セデーション、ボツリヌストキシン注射、3D模型、保証10年)
*単体のインプラントのガイドとは異なる、オールオン4専用のガイド
※当時の価格で現在とは異なる場合があります。
来院の背景
義歯が外れやすく、また残っている全ての歯も揺れるような感覚があり、しっかり噛めずに困っているとのこと。オールオン4治療を受けたご友人から「自分の歯のように噛める」と聞き、ご来院くださいました。
治療結果
介護をされており、時間的余裕が少ないご事情から、まずは上顎を先にオールオン4にしました。その後、おりをみて下顎のオールオン4治療も実施。下顎は人工歯(上部構造)の種類を変えることで、上顎よりコストダウンができました。狭心症や高血圧の既往があるため、麻酔科医と連携しながら慎重に手術を行いました。
考えられる副作用とリスク
炎症反応により手術後数日〜1週間程度腫れや痛みが続く可能性があります。手術内容や範囲によって異なりますが、次第に腫れが引いてくることがほとんどです。
Case8
重度の歯周病で歯並びにも影響が。オールオン4で噛み合わせも改善
残存歯の動揺、義歯の不適合、重度の歯周病






上顎 オールオン4、下顎 オールオン4
7,150,000円(上顎3,575,000円、下顎3,575,000円/内訳:オールオン4(ストローマン)、3Dモデルガイド*、仮歯、セデーション、ボツリヌストキシン注射、3D模型、保証10年)
*単体のインプラントのガイドとは異なる、オールオン4専用のガイド
※当時の価格で現在とは異なる場合があります。
来院の背景
残っている歯がぐらぐらする感覚があり、使用中の義歯が合わなくなってきているため、インプラントを検討し来院されました。
治療結果
もともと重度の歯周病があり、残っている歯が動いてしまい歯が前に出ているような並びになっていました。そのため、正常な位置で嚙み合わせるように設計し、オールオン4治療を行いました。歯周病に加え喫煙も続けているため、インプラント周囲炎にはとくに注意が必要です。
考えられる副作用とリスク
炎症反応により手術後数日〜1週間程度腫れや痛みが続く可能性があります。手術内容や範囲によって異なりますが、次第に腫れが引いてくることがほとんどです。
Case9
差し歯が抜けた上顎をオールオン4に。機能性も審美性も向上して満足
左上さし歯の脱離、残根状態






上顎オールオン5
4,675,000円(内訳:オールオン5(ノーベルザイゴマインプラント1本・ストローマンインプラント4本)、3Dモデルガイド*、仮歯、セデーション、ボツリヌストキシン注射、3D模型、保証10年)
*単体のインプラントのガイドとは異なる、オールオン4専用のガイド
※当時の価格で現在とは異なる場合があります。
来院の背景
差し歯にしていた上顎右奥が脱離し、他院でつけ直しをお願いしたものの対応ができなかったそうです。噛みやすさだけでなく、見た目を整えたいというご希望も強くお持ちでした。
治療結果
差し歯の部分は根っこが残っている状態でした。また、骨がやせていたため、ザイゴマインプラントを1本入れて対応しました。アレルギー体質や胃弱などの既往があり、術後の処方箋にも配慮が必要だったため、各機関と連携のうえ無事に施術ができました。
ご本人は「噛みやすくなり見た目も整った」と満足されたご様子です。上顎の状態が落ち着いたら、下顎右奥歯のインプラントも予定しています。
考えられる副作用とリスク
炎症反応により手術後数日〜1週間程度腫れや痛みが続く可能性があります。手術内容や範囲によって異なりますが、次第に腫れが引いてくることがほとんどです。
Case10
丁寧なカウンセリングが決定打に。信頼できる医師とスタッフのもと安心して施術できた
残存歯の痛み、義歯の不適合






上顎オールオン4、下顎インプラント5本
5,723,800円(上顎3,328,000円、下顎2,395,800円/内訳:上顎オールオン4(ノーベルインプラント4本)、3Dモデルガイド*、仮歯、セデーション、ボツリヌストキシン注射、3D模型、保証10年/下顎抜歯即時埋入インプラント(ノーベルインプラント2本、ストローマンインプラント3本)、ガイド、仮歯、セデーション、補綴治療、保証20年)
*単体のインプラントのガイドとは異なる、オールオン4専用のガイド
※当時の価格で現在とは異なる場合があります。
来院の背景
残っている歯に痛みがあり、義歯も合わないことから食事の際は外しているそうです。そのため食事がうまくできず、インプラントを検討。何院かカウンセリングを受けたものの納得できず、当院にいらっしゃいました。
治療結果
まずは上顎のオールオン4から治療を開始しました。下顎はいったん保険適用で義歯を入れて、上顎の状態が落ち着いてからインプラントを5本の埋入施術を行いました。治療期間は長めになりましたが、カウンセリングからじっくりとお話を聞き、信頼関係を築きながら無事に治療を終えることができました。ご本人からは、「カウンセリングでしっかり話を聞いてくれたことが決め手になった」とのお言葉をいただきました。
考えられる副作用とリスク
炎症反応により手術後数日〜1週間程度腫れや痛みが続く可能性があります。手術内容や範囲によって異なりますが、次第に腫れが引いてくることがほとんどです。
Case11
趣味はカラオケ。オールオン4で人前でも自信を持って歌える口元に!
他院で治療した右下奥インプラントのぐらつき、左下のブリッジ破折。左上は部分入れ歯を使用中。





上顎:オールオン4+ザイゴマインプラント2本/下顎:左56インプラント2本(左5・6)、インプラント上部構造作り替え(右4・5・6)
8,315,400円(内訳:上顎オールオン4(ノーベルインプラント4本・ノーベルザイゴマインプラント2本)、3Dモデルガイド*、仮歯、セデーション、ボツリヌストキシン注射、3D模型、保証10年/下顎抜歯即時埋入インプラント(ストローマンインプラント2本)、ガイド、骨補填、仮歯、セデーション、補綴治療、保証20年)
*単体のインプラントのガイドとは異なる、オールオン4専用のガイド
※当時の価格で現在とは異なる場合があります。
来院の背景
他院で施術した右下のインプラントの上部構造(人工歯)がぐらぐらしているものの、他院では作り直しができないと言われ、当院での治療経験がある奥様の紹介でいらっしゃいました。上部構造の動揺のほか、左下のブリッジ破折、根尖病巣がみられ、左上は部分義歯を使用されています。
治療結果
上顎はオールオン4とザイゴマインプラント2本、下顎のブリッジの部分2本をインプラント、右下の他院で施術されたインプラントは上部構造を作り直し、補綴治療も行いました。もともと噛む力が強さやブラキシズム(無意識下の歯ぎしりや食いしばり)の影響で歯が咬耗しており、噛み合わせが低い状態でした。そのため、長期的視点から、下顎は全顎仮歯に置き換え、咬合治療も行いました。
患者様は、しっかり噛めることはもちろん、見た目も整いカラオケ教室で自信を持って歌えるようになった、と喜んでおられます。
考えられる副作用とリスク
炎症反応により手術後数日〜1週間程度腫れや痛みが続く可能性があります。手術内容や範囲によって異なりますが、次第に腫れが引いてくることがほとんどです。
東京・神田医院
〒101-0047東京都千代田区内神田
3-21-6 山喜ビル2階
診療 時間 |
火・水・金・土・日曜日 10:00~19:00 月・木・祝祭日:休診 |
---|
新宿医院
〒160-0022東京都新宿区新宿4-2-16
パシフィックマークス新宿
サウスゲート4階
診療 時間 | 月・火・水・金・土・日曜日 10:00~19:00 木・祝祭日:休診 日曜診療いたします |
---|
横浜医院
〒220-0004神奈川県横浜市西区北幸
1-1-8エキニア横浜8階
診療 時間 | 火・水・金・土・日曜日 10:00~19:00 月・木・祝祭日:休診 日曜診療いたします |
---|
- お問い合わせ
- 0120-848-479
- (月~日 9:30~19:00)
